Bakı
Sumqayıq
Ağdam
Ağdaş
Ağcabədi
Ağstafa
Ağsu
Astara
Babək
Balakən
Bərdə
Beyləqan
Biləsuvar
Cəbrayıl
Cəlilabad
Culfa
Daşkəsən
Füzuli
Gədəbəy
Goranboy
Göyçay
Gəncə
Hacıqabul
Xaçmaz
Xızı
Xocalı
Xocavənd
İmişli
İsmayıllı
Kəlbəcər
Kəngərli
Kürdəmir
Qəbələ
Qax
Qazax
Qobustan
Quba
Qubadlı
Qusar
Laçın
Lənkəran
Lerik
Masallı
Neftçala
Oğuz
Ordubad
Saatlı
Sabirabad
Sədərək
Salyan
Samux
Şabran
Şahbuz
Şəki
Şamaxı
Şəmkir
Şərur
Şuşa
Siyəzən
Tərtər
Tovuz
Ucar
Yardımlı
Yevlax
Zəngilan
Zaqatala
Zərdab
Az
Ru
Şəxsi hesab
Daxil Ol
Qeydiyyatdan keç
Menu
Həkimlər
Klinikalar
Apteklər
Stomatologiyalar
Sağlamlıq
Laborаtoriyalar
Avadanlıqlar
Əlavə Menu
Ana Səhifə
Haqqımızda
Tibbi Market
Məqalələr
Aksiyalar
Ana Səhifə
|
Stomatoloq
Эльданиз Гасанов - Stomatoloq
Эльданиз Гасанов
Stomatoloq
Həkimin dərəcəsi : Ali dərəcəli həkim
Təcrübə : 30 il
Haqqında
Məqalələr
Xidmətlər
Qalereya
Qəbula yazıl
Rəy yaz
Əlaqə
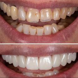
Şəkillər
Sertifikatlar
Videolar